Homem coloca escova de dentes no pênis e objeto quebra durante sexo

Paciente indonésio precisou de cirurgia após escova de dentes quebrar dentro do pênis durante relação sexual.
Redação Imediato Online
ouça este conteúdo
00:00 / 00:00
1x

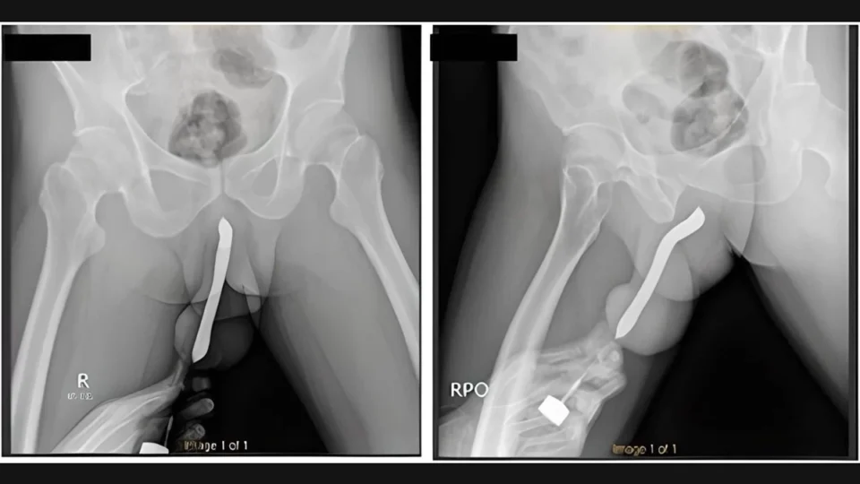
PAÍS | Um homem de 43 anos, da Indonésia, precisou passar por uma cirurgia após uma escova de dentes quebrar dentro do pênis dele durante uma relação sexual. O objeto foi inserido no órgão sexual pelo próprio paciente.

“O paciente sofreu uma lesão peniana durante a relação sexual na posição de mulher por cima, na noite anterior”, relataram os médicos que atenderam o homem em um estudo de caso publicado no International Journal of Surgery Case Reports.

Os médicos do Hospital Geral Acadêmico Soetomo, na cidade de Surabaya, contam que o homem esperou 12 horas para procurar atendimento médico. Ao chegar ao pronto-socorro, o pênis dele estava muito inchado e disforme.

Ele admitiu para os socorristas que enfiou a escova de dentes no órgão sexual para “satisfação pessoal”. Também acrescentou que já havia feito um pequeno corte no órgão para conseguir inserir objetos no local com mais facilidade.

Os médicos, no entanto, não informaram se a escova retirada no hospital era nova ou se ela estava alojada no pênis do paciente desde 2017, ano no qual o paciente relatou ter feito o corte.

Embora o pênis não tenha ossos, ele possui dois tubos esponjosos chamados de corpos cavernosos, eles se enchem de sangue e endurecem durante as ereções. Uma fratura ocorre quando os corpos cavernosos se rompem.

O indonésio passou por uma cirurgia de duas horas e recebeu alta três dias depois. Na consulta de retorno, um mês depois, ele disse não ter sofrido complicações e conseguir urinar normalmente. O pênis também voltou ao formato original.

Foto: Hospital Geral Acadêmico Soetomo/ Divulgação

*Com informações do Metrópoles

Carregar Comentários